Skip to content
關於品馥
醫療團隊
治療項目
微創植牙
牙齒矯正
兒童牙科
假牙贋復
前牙美學
牙齒美白
全口重建
健保項目
牙周病治療
水雷射
活髓保存術
笑氣鎮靜
鎮靜麻醉治療
牙科知識
文章專欄
影音專區
案例分享
最新消息
立即預約
首頁
/
醫療團隊
李芳桀 醫師
Lee, Fang-Chieh
家庭牙科
國立陽明交通大學牙醫學士
台北榮民總醫院醫師
台北榮民總醫院最佳受訓醫師
國立陽明大學附設醫院醫師
中華牙醫學會會員
全口定期檢查
牙齒補綴
根管治療
假牙贗復
牙齒美白
臨床案例
Cases
更多案例
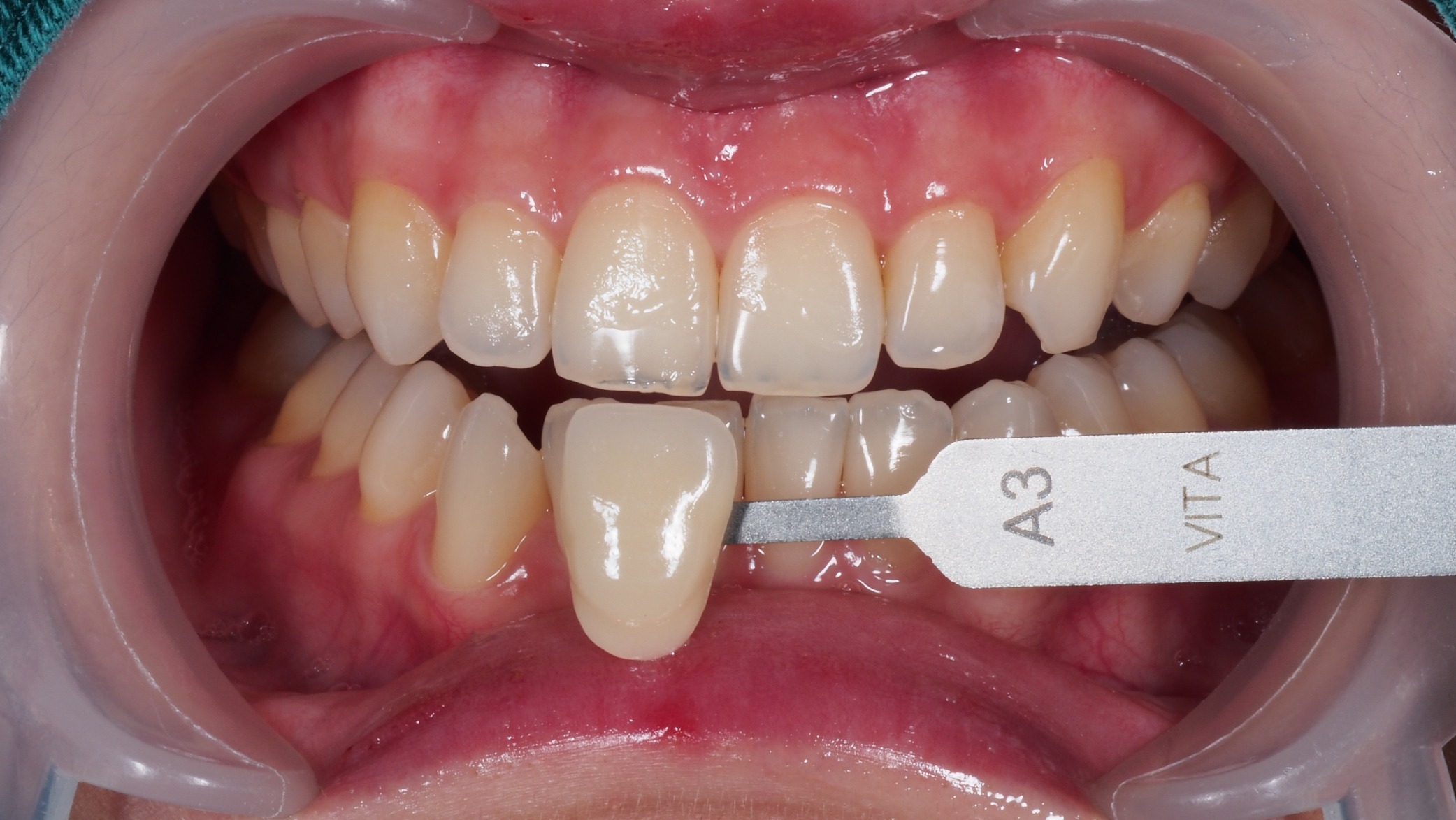
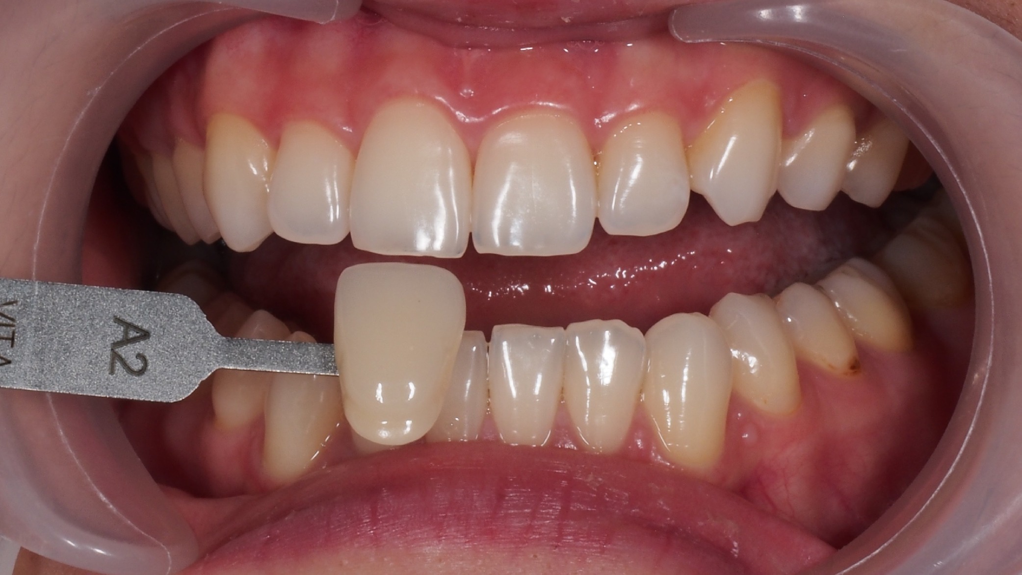
居家美白案例
聯絡我們
reservation
我們以香氣如詩的氛圍,
在治療中感受到舒適和愉悅。
立即預約
立即預約
關於品馥
醫療團隊
治療項目
微創植牙
牙齒矯正
兒童牙科
假牙贋復
前牙美學
牙齒美白
全口重建
健保項目
牙周病治療
活髓保存術
笑氣鎮靜舒眠
TCI鎮靜舒眠麻醉
水雷射
牙科知識
文章專欄
兒童牙科
齒顎矯正
影音專區
診所精選
笑氣治療
案例分享
最新消息