Skip to content
關於品馥
醫療團隊
治療項目
微創植牙
牙齒矯正
兒童牙科
假牙贋復
前牙美學
牙齒美白
全口重建
健保項目
牙周病治療
水雷射
活髓保存術
笑氣鎮靜
鎮靜麻醉治療
牙科知識
文章專欄
影音專區
案例分享
最新消息
立即預約
首頁
/
醫療團隊
楊宜憲 醫師
Yang, Yi-Hsien
牙周/植牙科
高雄醫學大學牙醫學士
中華民國植牙聯合醫學會專科醫師
中華民國臨床植牙協會專科醫師
奧齒泰植牙教育中心講師
植日昇植牙教育中心講師
中華審美牙醫學會會員
Zimmer Orange顯微牙科再教育課程助教
美學植牙
顯微手術重建
美容牙齦整形
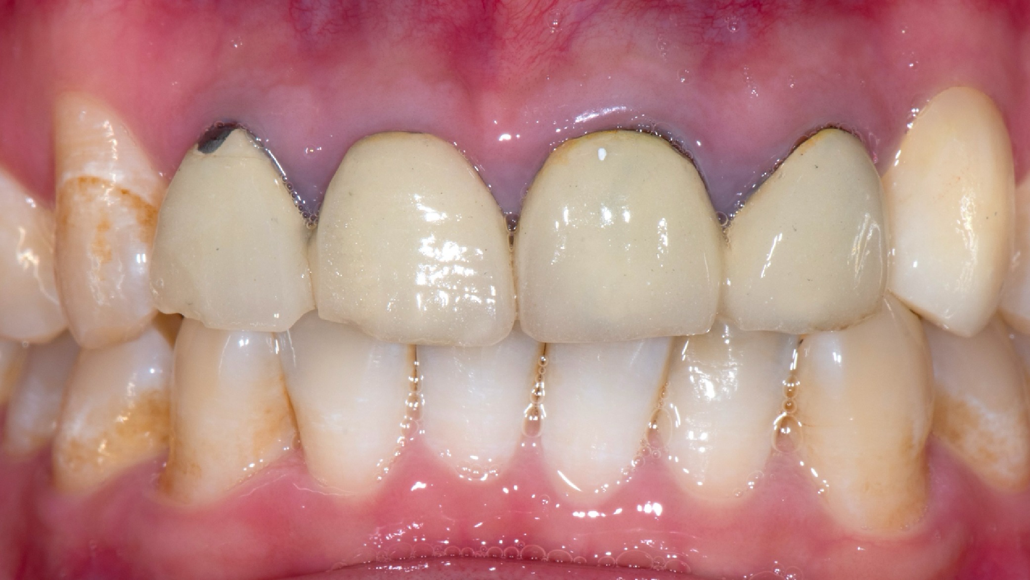
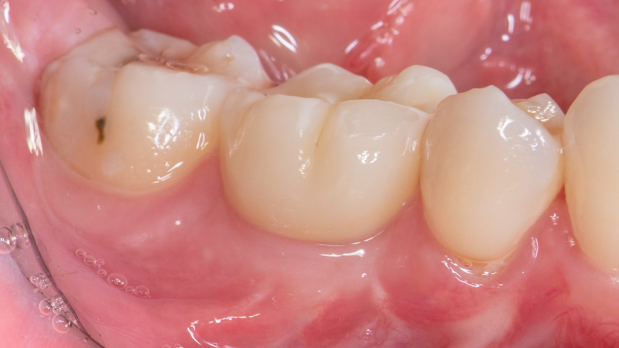
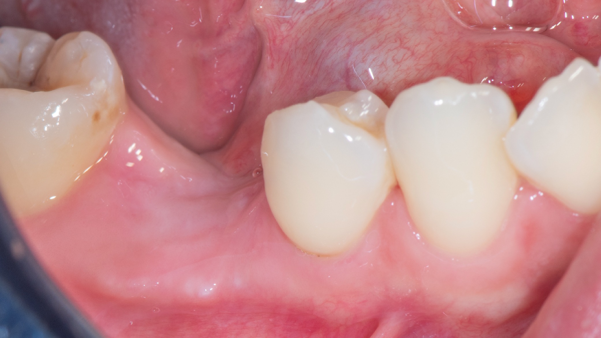
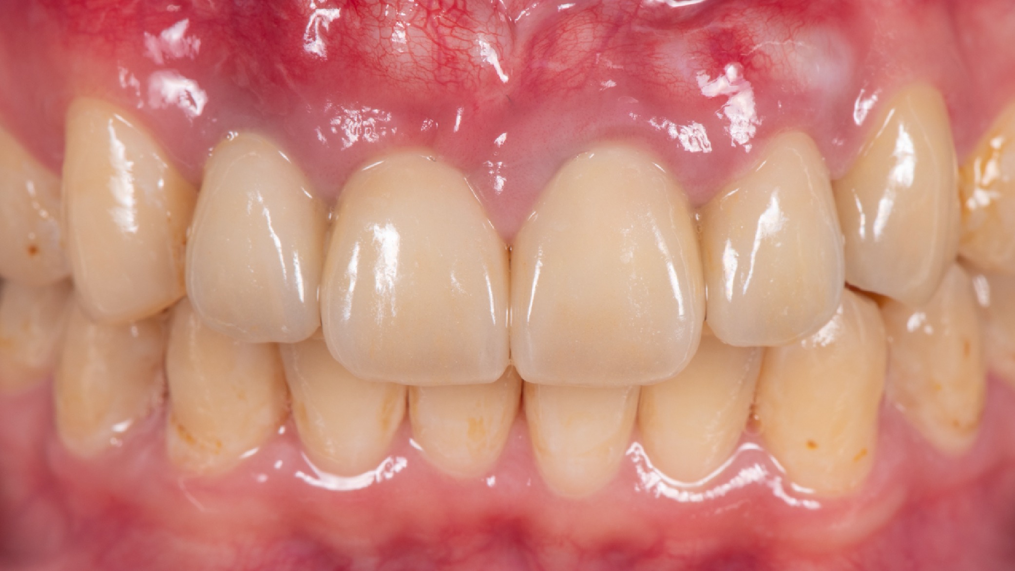
臨床案例
Cases
更多案例
植牙案例
牙根覆蓋手術案例
牙根覆蓋手術案例
牙根覆蓋手術案例
前牙美學重建案例
植牙案例
影片專區
Video
【品馥牙醫診所】什麼是笑氣?幫助患者降低緊張感 ft.楊宜憲醫師
View more
聯絡我們
reservation
我們以香氣如詩的氛圍,
在治療中感受到舒適和愉悅。
立即預約
立即預約
關於品馥
醫療團隊
治療項目
微創植牙
牙齒矯正
兒童牙科
假牙贋復
前牙美學
牙齒美白
全口重建
健保項目
牙周病治療
活髓保存術
笑氣鎮靜舒眠
TCI鎮靜舒眠麻醉
水雷射
牙科知識
文章專欄
兒童牙科
齒顎矯正
影音專區
診所精選
笑氣治療
案例分享
最新消息