案例一:門牙缺角美學樹脂重新填補
很多人的門牙撞斷後,雖然有補過樹脂,但時間久了常會遇到邊緣變色、看起來死白,或是跟旁邊牙齒有明顯色差的問題,笑起來總覺得像貼了一塊顯眼的「補丁」。
這位患者就是覺得原本門牙補的地方不好看,所以找蘇醫師重新整理。
💡治療方式:
我幫患者拆掉舊的樹脂,改用美學樹脂重新填補。這個做法不只是把缺角補齊,更透過多層次的堆疊技術,去模擬天然牙齒的透光度。
💡術後成果:
- 色澤超自然:完全看不出斷裂的交界線。
- 透亮感提升:還原真牙的質感,不再死白。
- 邊緣更密合:解決原本容易卡垢、變色的困擾。
看著患者補完後對著鏡子驚訝地說:「真的看不出哪裡補過!」,這種自然的成果,就是美學填補最大的價值。
案例二:矯正後重新填補美學樹脂
很多患者在辛苦完成牙齒矯正後,雖然排列整齊了,但常會發現早期的舊樹脂填補成了美中不足的地方。
就像這個案例,患者矯正後門牙排列整齊了,但舊有的樹脂填補物因色澤發黃、厚度不均,在整齊的齒列中顯得特別突兀,像是一塊顯眼的補丁。
💡治療方式:
我們幫患者拆掉舊樹脂,重新進行美學樹脂填補。這不只是補洞,更是配合矯正後的齒型,重新雕塑牙齒的比例與透光度。
💡修復重點:
- 消滅色差:精準對色,讓補過的牙齒跟矯正後的新齒列完美融合。
- 還原透亮感:移除死白的舊填補物,用美學樹脂模擬真牙的自然透光。
- 細膩微調:針對矯正後的牙型做最後的修飾,讓笑容更精緻。
辛苦矯正完,值得擁有更完美的細節。從「看得出補過」到「像天生的一樣」,這就是美學樹脂為笑容畫下的完美句點。
案例三:門牙舊樹脂換美學樹脂
這是一位患者門牙舊樹脂換新的案例。
門牙斷裂後,很多人會選擇用樹脂填補,但這位患者也遇到舊式樹脂隨著時間出現變色發黃的問題,且因為缺乏層次堆疊,補過的牙齒看起來會比較死板,甚至在門牙交界處顯得有一種「悶悶的」厚重感。
💡治療方式:
我們幫患者拆除已經老化的舊樹脂,重新進行美學樹脂修復。除了處理色差,更重點在於重新雕塑牙齒的切端透明度與表面紋理。
💡修復後亮點:
- 告別暗沈發黃:移除變質的舊樹脂,換上色澤穩定、亮眼的美學材料。
- 重現自然透光:模擬真牙的層次,讓光線能自然穿透,消除原本的補丁感。
- 微調牙齒比例:透過精細填補,讓兩顆門牙的對稱性與型態更協調。
透過細膩的處理,不需要大範圍磨牙做貼片,單純透過美學樹脂更新,就能讓笑容的質感大幅提升。看著門牙從灰黃變回自然透亮,就是最簡單也最有效的牙齒微整形!
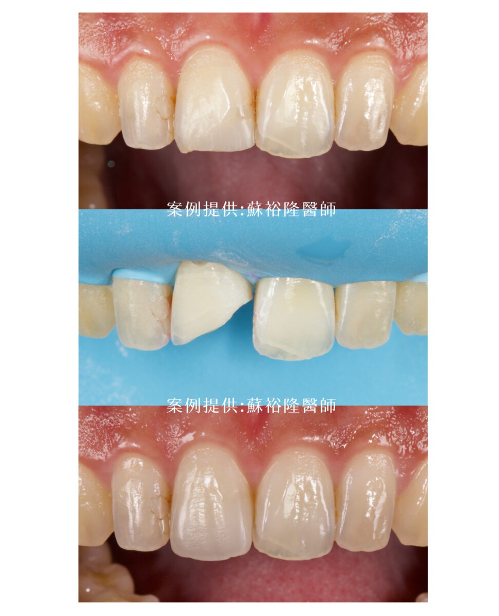
案例四:美學樹脂修復大面積的斷裂門牙
這位年輕的女同學因為意外車禍撞斷了門牙,由擔心的父親帶著來到診所。對於年輕患者來說,除了恢復功能,我們更在乎如何在不磨除更多健康牙齒的前提下,完美還原原本的樣貌。
💡治療方式:
面對這種大面積的斷裂,如果採用傳統做法可能需要修磨牙齒做牙冠,但考量到患者年紀輕、齒質珍貴,我們選擇用美學樹脂進行修復。
💡修復重點:
- 微創保護:不需要修磨健康的牙齒,直接在斷裂處進行高強度黏結與重建。
- 精準分層堆疊:年輕牙齒的透明度高、層次豐富,我們細膩模擬了切端的透光感,讓補過的門牙像從沒受過傷一樣自然。
- 重塑齒型:參考鄰牙的形狀,精雕細琢出對稱且和諧的弧度。
看著原本斷裂的缺口完全消失,患者重新露出的笑容,也讓一旁擔心的父親放下了心。 美學樹脂不只是填補缺損,更是透過技術與藝術的結合,幫患者把受傷的痕跡隱藏起來,重拾對笑容的自信!
