首頁 / 案例分享
案例分享, Dr.蘇裕隆案例, Dr.蘇裕隆
舊式樹脂時間久了常會遇到邊緣變色、看起來死白,或是跟旁邊牙齒有明顯色差的問題,笑起來總覺得像貼了一塊顯眼的「補丁」。 現在許多患者會選擇「美學樹脂」做填補材料,精準對色、模擬真牙的自然透光、更能雕塑牙齒的切端透明度與表面紋理。 幫助許多牙齒斷裂的患者藏起受傷的痕跡,重拾笑容。...
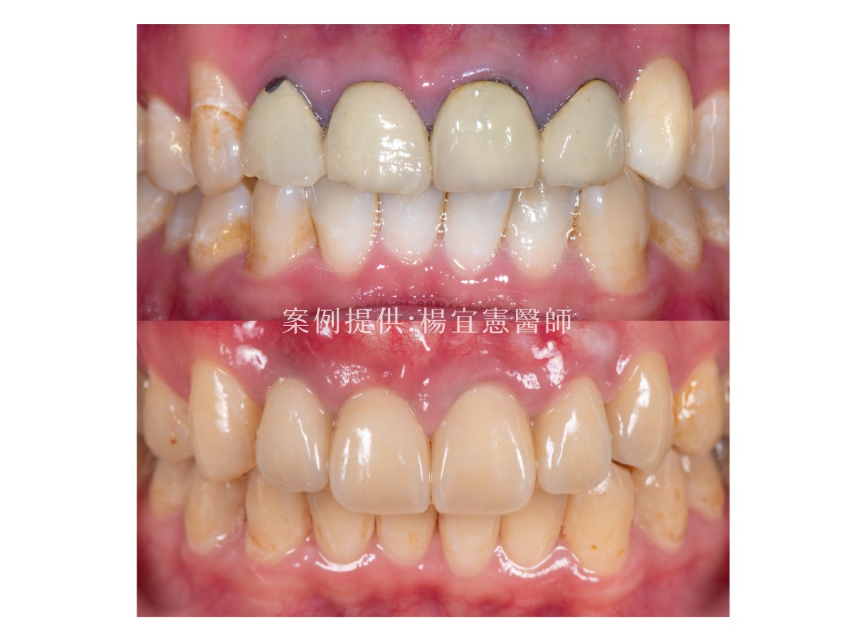
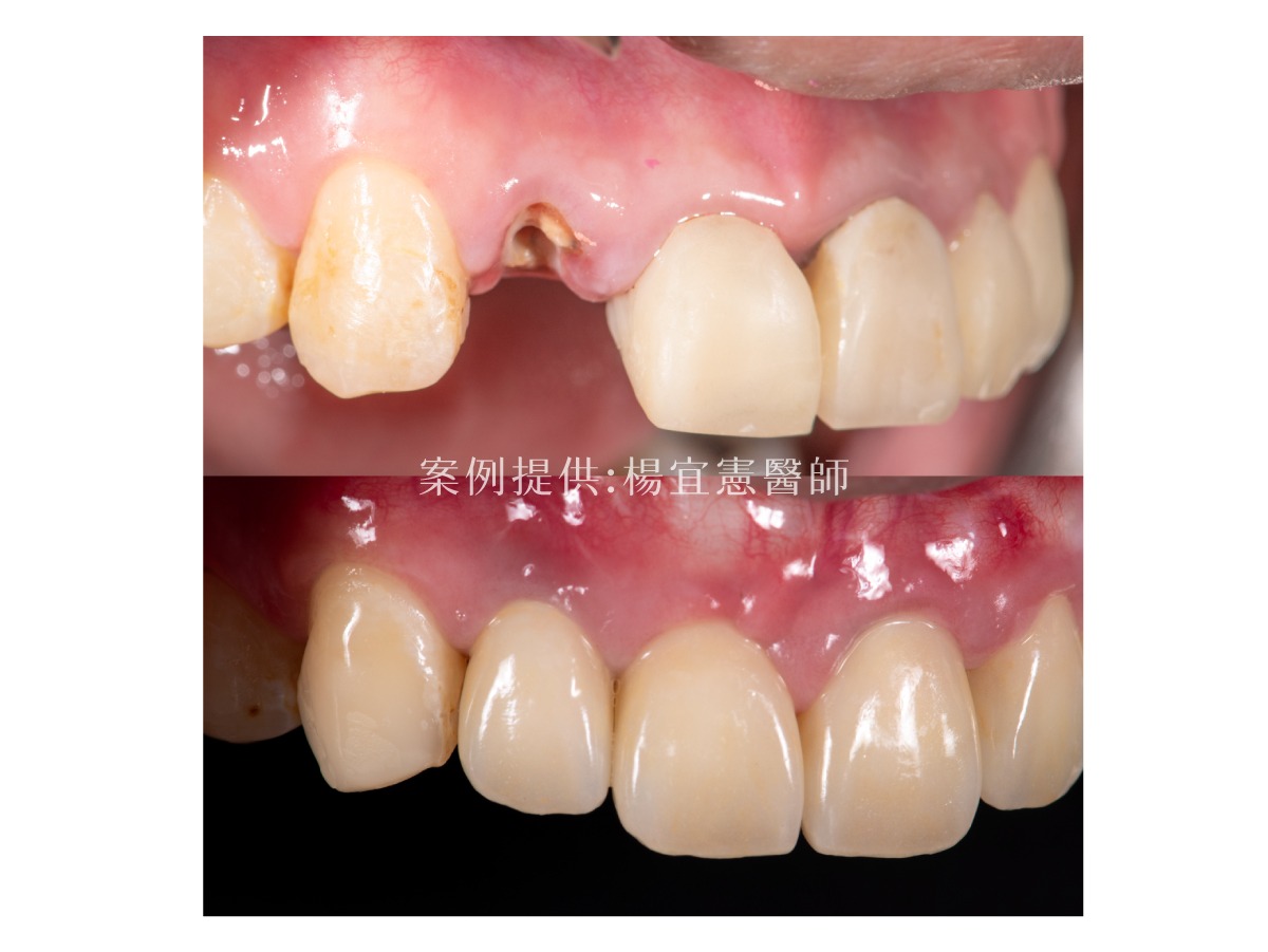
案例分享, Dr.楊宜憲, Dr.楊宜憲案例
前牙區的重建是一場關於牙齦與牙齒的平衡。 病人前牙區四顆門牙舊假牙安裝角度不良,連帶影響咬合問題,矯正醫師經過矯正療程後,便交給楊醫師協同微創植牙及軟組織移植(補肉)。 患者重新找回「敢大笑」的自信。...
牙齒矯正, Dr.蔡騏駿案例, 案例分享, Dr.蔡騏駿
照鏡子時,大家會不會覺得正面看起來下巴很短,幾乎與頸連在一起,經常被人說「無下巴」;側面看起來下顎線條不明顯,影響了整個臉型和五官比例,這很可能是下巴太小或下巴後縮而導致。...
聯絡我們
我們以香氣如詩的氛圍,在治療中感受到舒適和愉悅。